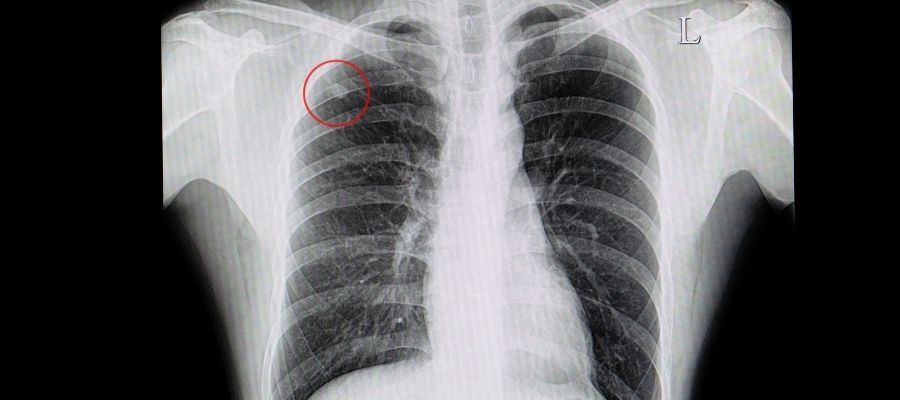
Akciğer Nodülü Nedir?
Akciğer nodülü; yuvarlak veya oval şekilli, yoğunluğu çevresindeki akciğer dokusundan farklı olan lezyonlardır. Genellikle rutin akciğer grafisi veya BT (Bilgisayarlı Tomografi) taramaları sırasında tesadüfen fark edilirler.
Pulmoner Nodül Tanımı ve Genel Özellikleri
Pulmoner nodül terimi, akciğerlerdeki bu küçük oluşumları ifade etmek için kullanılır. Nodüllerin boyutu, şekli, yoğunluğu ve iç yapısı gibi özellikleri, iyi huylu mu yoksa kötü huylu mu oldukları konusunda ipuçları verebilir. Genellikle 3 cm'den küçük olan oluşumlar nodül olarak adlandırılırken daha büyük olanlar kitle olarak tanımlanır ve kanser riski daha yüksek kabul edilir.
İyi Huylu ve Kötü Huylu Nodüllerin Farkları
Akciğer nodüllerinin büyük bir kısmı iyi huylu nodüllerdir. Bu nodüller genellikle eski enfeksiyonlar, iltihaplanmalar, mantar hastalıkları veya küçük skar dokuları nedeniyle oluşur. İyi huylu nodüller genellikle yavaş büyür veya hiç büyümez, düzgün sınırlara sahip olabilir ve içinde kireçlenme görülebilir.
Bununla birlikte, nodüllerin küçük bir yüzdesi kötü huylu nodüller olabilir ve bu durum akciğer kanseri riski taşıdığı anlamına gelir. Kötü huylu nodüller genellikle düzensiz sınırlara, hızlı büyüme eğilimine ve iç yapılarında atipik özelliklere sahip olabilir. Nodülün boyutu arttıkça kötü huylu olma riski de artmaktadır.

Akciğer Nodülü Neden Olur?
Akciğer nodüllerinin ortaya çıkmasında birçok farklı faktör etkili olabilir. Bu faktörler genellikle iyi huylu nedenlere dayanmakla birlikte, bazı durumlarda malign (kötü huylu) bir sürecin habercisi de olabilirler.
Enfeksiyonlara Bağlı Nodüller
Akciğer nodüllerinin en yaygın nedenlerinden biri enfeksiyonlardır. Tüberküloz, pnömoni (zatürre) gibi bakteriyel enfeksiyonlar, mantar enfeksiyonları veya paraziter enfeksiyonlar akciğerde nodül oluşumuna yol açabilir. Bu nodüller genellikle enfeksiyonun iyileşmesiyle gerileyebilir veya skar dokusu olarak kalıcı olabilir.
Akciğer Kanseri ve Malign Nodüller
Akciğer nodüllerinin en endişe verici nedeni akciğer kanseridir. Özellikle sigara içenlerde veya akciğer kanseri risk faktörleri taşıyan bireylerde tespit edilen nodüller, malignite açısından daha dikkatli incelenmelidir. Erken evre akciğer kanserleri sıklıkla belirti vermeden nodül şeklinde ortaya çıkar.
Sigara Kullanımı ve Diğer Risk Faktörleri
Sigara kullanımı, akciğer nodüllerinin malignite riskini önemli ölçüde artıran en büyük faktördür. Pasif içicilik, asbest veya radon gibi çevresel toksinlere maruz kalma, ailede akciğer kanseri öyküsü, KOAH gibi diğer akciğer hastalıkları ve ileri yaş da akciğer nodüllerinin kötü huylu olma riskini artıran risk faktörleri arasındadır.
Enflamatuvar Hastalıklara Bağlı Nodüller
Sarkoidoz, romatoid artrit gibi otoimmün hastalıklar veya enflamatuvar durumlar da akciğerlerde nodül oluşumuna neden olabilir. Bu nodüller genellikle birden fazla sayıda olup, hastalığın aktivitesiyle ilişkili olarak büyüyüp küçülebilirler.
Akciğer Nodülü Belirtileri Nelerdir?
Akciğer nodülleri genellikle belirgin bir akciğer nodülü belirtileri göstermezler. Çoğu zaman başka nedenlerle yapılan rutin görüntüleme tetkiklerinde tesadüfen saptanırlar. Ancak, nodülün büyüklüğü, yerleşim yeri veya altta yatan nedene bağlı olarak bazı belirtiler ortaya çıkabilir.
Belirti Vermeyen (Sessiz) Nodüller
Akciğer nodüllerinin büyük çoğunluğu sessizdir, yani herhangi bir semptoma neden olmazlar. Bu durum, özellikle erken evre kötü huylu nodüller için geçerlidir ve bu da erken teşhisi zorlaştırabilir. Bu nedenle, düzenli kontroller ve özellikle risk faktörü taşıyan bireylerde tarama önemli hale gelmektedir.
Öksürük ve Nefes Darlığı
Nodülün hava yollarına yakın bir yerde bulunması veya yeterince büyümesi durumunda öksürük ve nefes darlığı gibi solunum şikayetleri ortaya çıkabilir. Özellikle kronik, inatçı öksürük veya eforla artan nefes darlığı durumunda akciğer nodülü olasılığı değerlendirilmelidir.
Göğüs Ağrısı ve Rahatsızlık
Nodülün göğüs duvarına yakın bir konumda olması veya çevresindeki dokulara bası yapması durumunda göğüs ağrısı ve rahatsızlık hissedilebilir. Bu ağrı genellikle hafif şiddette ve sürekli karakterde olabilir.
Kilo Kaybı ve Halsizlik
Eğer nodül kötü huyluysa ve ilerlemiş bir akciğer kanseri belirtisi ise, kilo kaybı ve halsizlik gibi sistemik belirtiler görülebilir. Bu belirtiler, kanserin vücutta yayılım gösterdiğine veya metabolik etkiler yarattığına işaret edebilir.

Akciğer Nodülü Nasıl Teşhis Edilir?
Akciğer nodülünün teşhisi, çeşitli görüntüleme yöntemleri ve bazı durumlarda invaziv işlemlerle yapılır. Teşhis sürecinde nodülün özellikleri, hastanın risk faktörleri ve belirtileri dikkate alınır.
Radyolojik Görüntüleme (BT, Röntgen)
Akciğer nodüllerinin saptanmasında en sık kullanılan yöntem radyolojik görüntülemelerdir.
Akciğer nodülü tespitinde kullanılan görüntüleme yöntemleri aşağıdaki gibidir:
- Akciğer Röntgeni: Genellikle ilk basamak görüntüleme testi olup, akciğerlerdeki büyük nodülleri saptayabilir. Ancak, küçük nodüller veya diğer yapıların arkasında kalan nodüller röntgende gözden kaçabilir.
- BT (Bilgisayarlı Tomografi): Akciğer nodüllerinin detaylı değerlendirilmesinde kullanılır. BT nodülün boyutunu, şeklini, sınırlarını, yoğunluğunu, iç yapısını ve çevresindeki dokularla ilişkisini çok daha net gösterir. Düşük doz BT taraması, özellikle yüksek riskli bireylerde akciğer kanseri taraması için önerilmektedir.
PET Taraması (Pozitron Emisyon Tomografisi)
PET taraması, nodülün metabolik aktivitesini değerlendirmek için kullanılır. Kanser hücreleri, normal hücrelere göre daha hızlı metabolize oldukları için PET taramasında daha fazla glikoz tüketir ve bu da parlak bir şekilde görünmelerini sağlar. Bu test, nodülün iyi huylu mu yoksa kötü huylu mu olduğunu ayırt etmede yardımcı olabilir, ancak her zaman kesin tanı koydurmaz.
Akciğer Biyopsisi ve Patolojik İnceleme
Bazı durumlarda, nodülün kesin tanısı için akciğer biyopsisi yapılması gerekebilir. Biyopsi, nodülden küçük bir doku örneği alınarak patoloji laboratuvarında mikroskop altında incelenmesidir. Biyopsi yöntemleri arasında BT veya ultrason eşliğinde likit biyopsi veya cerrahi biyopsi (torakoskopi veya açık cerrahi ile) bulunabilir.
Solunum Fonksiyon Testleri
Solunum fonksiyon testleri, akciğerlerin ne kadar iyi çalıştığını ölçmek için kullanılır. Nodülün kendisi solunum fonksiyonlarını doğrudan etkilemese de, altta yatan kronik akciğer hastalıklarının değerlendirilmesinde faydalı olabilir ve cerrahi tedavi planlamasında önemli rol oynar.
Akciğer Nodülü Tehlikeli mi?
Çoğu akciğer nodülü iyi huylu olsa da bazıları potansiyel olarak tehlikeli olabilir ve akciğer kanseri riski taşıyabilir. Nodülün tehlikeli olup olmadığı, çeşitli faktörler göz önünde bulundurularak değerlendirilir.
Nodülün Boyutuna Göre Risk Değerlendirmesi
Nodülün boyutu, malignite riskinin önemli bir göstergesidir.
Genel olarak değerlendirme şu şekilde olabilir:
Nodülün Büyüme Hızı ve Şeklinin Önemi
Nodülün büyüme hızı, malignite açısından kritik bir göstergedir. Hızla büyüyen nodüller genellikle kötü huylu olma eğilimindedir. İyi huylu nodüller ise ya hiç büyümez ya da çok yavaş büyür.
Nodülün şekli ve sınırlarının önemi aşağıdaki gibidir:
- Düzgün sınırlı, yuvarlak veya oval nodüller: Genellikle iyi huyludur.
- Düzensiz, girintili çıkıntılı veya dikenli sınırlara sahip nodüller: Kötü huylu olma olasılığı daha yüksektir.
- Solid (katı) nodüller: Genellikle malignite riski daha yüksektir.
- Yarı solid veya buzlu cam görünümündeki nodüller: Erken evre kanser veya gibi durumları düşündürebilir ve dikkatli takip gerektirir.
Nodülün Yerleşim Yeri ve Tehlike Durumu
Nodülün akciğer içindeki yerleşim yeri de bazı durumlarda önemli olabilir. Örneğin, üst loblarda yer alan nodüllerin malign olma olasılığı alt loblara göre biraz daha yüksek kabul edilebilir. Ancak, bu tek başına belirleyici bir faktör değildir.
Kanser Riski ve Erken Tanının Önemi
Akciğer nodülünün potansiyel tehlikesi, büyük ölçüde kanser riski ile ilişkilidir. Özellikle sigara kullanan, ailede kanser öyküsü gibi risk faktörleri bulunan bireylerde bu risk daha da artar. Unutulmamalıdır ki, erken tanının önemi akciğer kanserinde hayat kurtarıcı olabilir. Erken evrede yakalanan akciğer kanserlerinin tedavi başarısı çok daha yüksektir. Bu nedenle, nodül tespit edildiğinde düzenli takip ve gerekli durumlarda hızlı müdahale esastır.
Akciğer Nodülü Tedavi Yöntemleri Nelerdir?
Akciğer nodülünün tedavi yöntemi, nodülün iyi huylu veya kötü huylu olmasına, boyutuna, büyüme hızına, hastanın genel sağlık durumuna ve diğer risk faktörlerine göre belirlenir. Çoğu iyi huylu nodül tedavi gerektirmezken kötü huylu nodüller için çeşitli tedavi seçenekleri mevcuttur.
Radyolojik Takip ve İzlem
İyi huylu olduğu düşünülen veya düşük malignite riskine sahip küçük nodüller için genellikle radyolojik takip ve izlem önerilir. Bu, belirli aralıklarla (örneğin 3, 6 veya 12 ayda bir) BT taramaları yaparak nodülün boyutunda veya özelliklerinde herhangi bir değişiklik olup olmadığını kontrol etmek anlamına gelir. Nodül büyüme göstermez veya küçülürse, takibin sıklığı azaltılabilir veya sonlandırılabilir. Bu süreçte rutin kontrollerin önemi büyüktür.
Cerrahi Müdahale (Minimal İnvaziv Yöntemler ve Açık Cerrahi)
Eğer nodülün kötü huylu olduğu düşünülüyorsa veya kanser riski yüksekse, cerrahi müdahale en sık tercih edilen tedavi yöntemidir. Ameliyatın amacı, nodülü ve çevresindeki potansiyel kanserli dokuyu tamamen çıkarmaktır.
- Minimal invaziv yöntemler: Günümüzde birçok akciğer ameliyatı, robotik cerrahi gibi minimal invaziv yöntemler ile yapılmaktadır. Bu yöntemler, küçük kesilerle, kamera yardımıyla gerçekleştirilir ve hastanın daha hızlı iyileşmesini, daha az ağrı yaşamasını ve hastanede kalış süresinin kısalmasını sağlar.
- Açık Cerrahi (Torakotomi): Bazı durumlarda, nodülün boyutu, yerleşim yeri veya diğer faktörler nedeniyle açık cerrahi (torakotomi) gerekebilir. Bu yöntemde daha büyük bir kesi yapılır.
Kanser Şüphesinde Uygulanan Ek Tedaviler
Eğer nodülün akciğer kanseri olduğu kesinleşirse, cerrahiye ek olarak başka tedaviler de gerekebilir. Bunlar:
- Kemoterapi: Kemoterapi, ameliyat öncesi veya sonrası, kanser hücrelerini öldürmeyi amaçlayan ilaç tedavisi.
- Radyoterapi: Yüksek enerjili ışınlarla kanser hücrelerini yok etmeyi amaçlar
- Hedefe yönelik tedaviler: Kanser hücrelerinin büyümesini sağlayan belirli molekülleri hedef alan ilaçlardır.
- İmmünoterapi: Vücudun kendi bağışıklık sistemini kanserle savaşmaya teşvik eden tedavilerdir.
Tedavi kararı, multidisipliner yaklaşım ile, göğüs cerrahı, medikal onkolog, radyolog ve patolog gibi farklı uzmanlık alanlarından hekimlerin birlikte değerlendirmesiyle verilir.
Tedavi Sonrası Düzenli Kontrollerin Önemi
Akciğer nodülü tedavisi sonrası, özellikle kanser teşhisi konmuş hastalarda, tedavi sonrası düzenli kontrollerin önemi büyüktür. Bu kontroller, hastalığın tekrarlayıp tekrarlamadığını veya yeni nodüllerin oluşup oluşmadığını takip etmek için yapılır. Kontroller genellikle fizik muayene, kan testleri ve düzenli BT taramalarını içerir.

Akciğer Nodülü İçin Koruyucu Önlemler ve Öneriler
Akciğer nodüllerinin oluşumunu tamamen engellemek her zaman mümkün olmasa da özellikle kötü huylu nodüllerin riskini azaltmak ve erken teşhis şansını artırmak için alınabilecek bazı koruyucu önlemler ve öneriler bulunmaktadır.
Sigarayı Bırakmak
Akciğer kanserinin en önemli risk faktörü olan sigara kullanımı, akciğer nodüllerinin malign olma olasılığını da büyük ölçüde artırır. Sigarayı bırakmak, hem akciğer kanseri riskini azaltmada hem de genel akciğer sağlığını iyileştirmede atılabilecek en önemli adımdır. Sigara dumanına pasif maruziyetten kaçınmak da önemlidir.
Düzenli Sağlık Kontrolleri
Özellikle akciğer kanseri risk faktörleri taşıyan bireylerin (uzun süreli sigara içenler, aile öyküsü olanlar vb.) düzenli sağlık kontrollerini ihmal etmemesi gerekir. BT taraması gibi tarama programları, yüksek riskli kişilerde akciğer kanserinin erken evrede teşhis edilmesine yardımcı olabilir. Bu kontroller, asemptomatik nodüllerin tespit edilmesini ve zamanında müdahale edilmesini sağlar.
Sağlıklı Yaşam Tarzının Önemi
Sağlıklı yaşam tarzının önemi, akciğer sağlığı için de geçerlidir. Dengeli beslenme, düzenli fiziksel aktivite, yeterli uyku ve stresten uzak durmak, bağışıklık sistemini güçlendirerek vücudun hastalıklara karşı direncini artırır. Kimyasal maddelerden, hava kirliliğinden ve diğer çevresel toksinlerden korunmak da akciğer sağlığını destekler.
Akciğer Nodülü Hakkında Sıkça Sorulan Sorular
Akciğer nodülü nedir?
Akciğer nodülü, akciğerde yapılan görüntüleme (röntgen, BT) sırasında tespit edilen, genellikle 3 cm'den küçük, çevresindeki dokudan daha yoğun görünen anormal bir oluşumdur. Çoğu nodül iyi huylu olsa da, bazıları akciğer kanseri belirtisi olabilir.
Akciğer nodülü tehlikeli midir?
Akciğer nodüllerinin büyük bir kısmı tehlikeli değildir ve iyi huylu nedenlere bağlıdır. Ancak küçük bir kısmı akciğer kanserini işaret edebilir.
Akciğer nodülü kanser belirtisi midir?
Akciğer nodülü, akciğer kanserinin erken belirtilerinden biri olabilir. Özellikle sigara içenlerde veya yüksek riskli kişilerde tespit edilen nodüllerin kanser olma olasılığı daha yüksektir. Ancak her akciğer nodülü kanser değildir.
Akciğer nodülü neden olur?
Akciğer nodülleri genellikle enfeksiyonlar (tüberküloz, mantar), iltihaplanmalar, eski skar dokuları, iyi huylu tümörler veya akciğer kanseri gibi çeşitli nedenlerle ortaya çıkabilir.
Akciğer nodülü nasıl teşhis edilir?
Akciğer nodülü genellikle BT (Bilgisayarlı Tomografi) veya akciğer röntgeni gibi radyolojik görüntüleme yöntemleriyle teşhis edilir. Kesin tanı için PET taraması veya akciğer biyopsisi gerekebilir.
Akciğer nodülü kaç cm olursa tehlikelidir?
Nodülün tehlike boyutu kesin bir sayı ile belirlenmemekle birlikte, genellikle 8 mm üzerindeki nodüllerin malign olma riski artar. 3 cm üzerindeki oluşumlar ise kitle olarak adlandırılır ve kanser olasılıkları çok daha yüksektir.
Akciğer nodülü tedavi edilmezse ne olur?
İyi huylu nodüller genellikle tedavi gerektirmez ve takip edilir. Ancak kötü huylu bir nodül tedavi edilmezse, kanser hücreleri büyüyüp yayılabilir, bu da hastalığın ilerlemesine ve tedavi şansının azalmasına yol açar.
Akciğer nodülü kendiliğinden kaybolur mu?
Bazı akciğer nodülleri, özellikle enfeksiyon veya iltihaplanmaya bağlı olanlar, zamanla kendiliğinden küçülebilir veya kaybolabilir. Ancak, bu durum her nodül için geçerli değildir ve takip gereklidir.
Akciğer nodülü ameliyat gerektirir mi?
Akciğer nodülü, kötü huylu olduğu düşünülüyorsa veya kanser riski yüksekse ameliyat gerektirebilir. İyi huylu nodüller genellikle sadece takip edilir ve ameliyata gerek kalmaz.
Akciğer nodülü için hangi doktora gidilmeli?
Akciğer nodülü tespit edildiğinde genellikle bir Göğüs Hastalıkları Uzmanına veya Göğüs Cerrahına başvurulmalıdır. Duruma göre Onkoloji veya Radyoloji uzmanlarından da görüş alınması gerekebilir.
Akciğer nodülleri nasıl sınıflandırılır?
Akciğer nodülleri; solid, yarı solid ve buzlu cam olmak üzere üç sınıfta incelenir. Bu sınıflandırma radyolojik görünümlerine göre oluşturulur.
Likit biyopsi nedir?
Likit biyopsi, kanser hücrelerini veya DNA'sını kan gibi vücut sıvılarından tespit eden ve cerrahi olmayan bir tanı yöntemidir. Kanser teşhisi, tedavi takibi ve hastalığın seyrini izlemek için kullanılır.
Doktorlar
-
Prof.Dr. ÇAĞLAR ÇUHADAROĞLU
Akciğer Nodülleri
Hızlı Randevu Al
-
Prof.Dr. GÜLCİHAN ÖZKAN
Akciğer Nodülleri
Hızlı Randevu Al
-
Prof.Dr. MUZAFFER METİNTAŞ
Akciğer Nodülleri
Hızlı Randevu Al
-
Prof.Dr. NUR DİLEK BAKAN
Akciğer Nodülleri
Hızlı Randevu Al
-
Prof.Dr. REHA BARAN
Akciğer Nodülleri
Hızlı Randevu Al
-
Prof.Dr. SALİH SERDAR ERTURAN
Akciğer Nodülleri
Hızlı Randevu Al
-
Doç.Dr. GÜL DABAK
Akciğer Nodülleri
Hızlı Randevu Al
-
Doç.Dr. İLİM IRMAK
Akciğer Nodülleri
Hızlı Randevu Al
-
Doç.Dr. MURAT SEZER
Akciğer Nodülleri
Hızlı Randevu Al
-
Doç.Dr. NİLÜFER AYKAÇ
Akciğer Nodülleri
Hızlı Randevu Al
-
Dr. AHMET HAKAN EREN
Akciğer Nodülleri
Hızlı Randevu Al
-
Dr. ARZU ERTEM CENGİZ
Akciğer Nodülleri
Hızlı Randevu Al
-
Dr. BURCU BABAOĞLU KARAN
Akciğer Nodülleri
Hızlı Randevu Al
-
Dr. DİLEK AYDIN YILDIRAN
Akciğer Nodülleri
Hızlı Randevu Al
-
Dr. F. ÇAĞLA UYANUSTA KÜÇÜK
Akciğer Nodülleri
Hızlı Randevu Al
-
Dr. GAMZE UÇAR
Akciğer Nodülleri
Hızlı Randevu Al
-
Dr. HANIM AHU URAL
Akciğer Nodülleri
Hızlı Randevu Al
-
Dr. JÜLİDE ÇELDİR EMRE
Akciğer Nodülleri
Hızlı Randevu Al
-
Dr. MURAT APAYDIN
Akciğer Nodülleri
Hızlı Randevu Al
-
Dr. NURGUL NAURZVAI
Akciğer Nodülleri
Hızlı Randevu Al
-
Dr. SÜHA ALZAFER
Akciğer Nodülleri
Hızlı Randevu Al
-
Dr. UYGAR CENİK
Akciğer Nodülleri
Hızlı Randevu Al
-
Dr. ZEKAİ TARIM
Akciğer Nodülleri
Hızlı Randevu Al