Kunduracı göğsü, göğüs kemiğinin içe doğru çökmesiyle ortaya çıkan yapısal bozukluktur. Genellikle çocuklukta fark edilip büyüme döneminde belirginleşebilir. Kunduracı göğsü olan bireylerde nefes alıp verme zorlaşabilirken fiziksel aktivitelerde de erken yorulma görülebilir.
Bu durum, görsel farklılık nedeniyle kişinin kendine güvenini etkileyebilir. Hafif olgularda fiziksel egzersizlerle destek sağlanırken ileri vakalarda cerrahi müdahale gerekebilir. Kunduracı göğsü, erken teşhis ve uygun yaklaşımla kontrol altına alınabilir.
Kunduracı Göğsü (Pektus Ekskavatum) Nedir?
Kunduracı Göğsü (Pektus Ekskavatum) göğüs kemiğinin içe göçmesiyle kendini gösteren doğumsal bir göğüs kafesi deformasyonudur. Bu durum, bazı kişilerde yalnızca estetik kaygı yaratırken bazılarında solunum ile dolaşım sistemi üzerinde baskı oluşturabilir. Pektus ekskavatum, ilerleyici yapısıyla özellikle ergenlik döneminde daha dikkat çekici hale gelir.
Kunduracı Göğsü Nedenleri ve Risk Faktörleri
Kunduracı göğsü, genetik ve çevresel faktörlerin birleşmesiyle görülen bir durumdur. Ayrıca hızlı kemik büyümesi dönemi veya yetersiz beslenme gibi faktörler de bu durumu tetikleyebilir. Neden olabilecek başlıca faktörler şunlardır:
- Genetik yatkınlık
- Bağ doku hastalıklarıyla ilişkisi
- Doğumsal göğüs duvarı anomalileri
Nedene bağlı olarak hastalığın şiddeti ve ilerleyişi değişiklik gösterebilir. Erken tanı, uygun tedavi planlamasında önemli avantaj sağlar.
Genetik Yatkınlık
Genetik yatkınlık, kunduracı göğsü gibi yapısal bozuklukların oluşumunda önemli rol oynar. Aile bireylerinde benzer sorunların bulunması, bu deformitenin nesilden nesile aktarılabileceğini gösterir. Göğüs duvarı deformitesi , genetik faktörlerin etkisiyle daha belirgin hale gelerek erken yaşlarda fark edilebilir.
Bağ Doku Hastalıklarıyla İlişkisi
Bağ doku hastalıkları, kunduracı göğsü ile doğrudan ilişkili olup vücuttaki dokunun zayıf olmasına yol açar. Marfan sendromu gibi bağ doku hastalıkları, göğüs kafesinin normal gelişimini engelleyerek deformitelere neden olabilir. Bu tür hastalıklar, göğüs duvarı deformitesinin daha erken yaşlarda ortaya çıkmasına zemin hazırlar.
Doğumsal Göğüs Duvarı Anomalileri
Doğumsal şekil bozukluğu , bireyin doğumuyla birlikte var olan ve vücudun belirli bölgelerinde görülen deformitelerden biridir. Göğüs duvarı anomalileri de bu tür bozukluklardan biri olup çoğunlukla doğuştan gelen yapısal sorunlardan kaynaklanır. Deformiteler erken dönemde fark edilerek yaşamın ilerleyen dönemlerinde etkilerini gösterebilir
Pediatrik cerrahi , bu tür doğumsal bozuklukların tedavisinde önemli yer tutar. Erken müdahale, çocuğun fiziksel gelişimi ile yaşam kalitesini büyük ölçüde iyileştirebilir. Ameliyatlar, genellikle göğüs kafesindeki deformitenin şiddetine göre planlanır.
Kunduracı Göğsünün Belirtileri Nelerdir?
Genellikle doğuştan gelen ve göğüs kemiğinin içe doğru çökmesiyle belirginleşen bozukluktur. Belirtileri, kişiden kişiye farklılık gösterebilir. Kunduracı göğsünün belirtileri şunlardır:
- Göğüs kafesinde içe doğru çökme
- Solunum güçlüğü ile nefes darlığı
- Kalp ritminde düzensizlik ve göğüs ağrısı
- Egzersiz kapasitesinde azalma
- Sosyal ve psikolojik etkiler
Düzenli kontroller, durumun ilerlemesini engelleyerek tedavi seçeneklerini artırabilir.
Göğüs Kafesinde İçe Doğru Çökme
Göğüs kafesinde çöküklük , doğuştan gelen ve zamanla belirginleşen deformitedir. Bu çökme, göğüs duvarının içe doğru kaymasıyla estetik farklılık yaratır. Bazı durumlarda kalp ile akciğer üzerinde baskı oluşturarak sağlık sorunlarına yol açabilir.
Solunum Güçlüğü ve Nefes Darlığı
Solunum güçlüğü , çökme nedeniyle akciğerlerin tam kapasiteyle çalışamaması sonucu ortaya çıkabilir. Özellikle fiziksel aktivite sırasında nefes darlığına yol açarak kişinin efor kapasitesini sınırlar. Zamanla solunum yollarının verimsiz çalışmasına ya da daha yoğun nefes alıp verme gereksinimine neden olabilir.
Kalp Ritminde Düzensizlik ve Göğüs Ağrısı
Göğüs ağrısı , kunduracı göğsü olan bireylerde sıkça karşılaşılan belirti olurken kalp üzerindeki baskıdan kaynaklanabilir. Deformite, kalp ritmi bozukluğu gibi durumlara sebep olabildiğinden bireyin günlük yaşamı olumsuz etkilenebilir. Özellikle ağır fiziksel aktiviteler sırasında bu tür şikayetler daha belirgin hale gelir.
Egzersiz Kapasitesinde Azalma
Fiziksel egzersiz intoleransı , vücudun belirli düzeyde fiziksel aktiviteye karşı yeterli tepki verememesi durumudur. Kunduracı göğsü gibi yapısal bozukluklar, bu durumu daha da belirgin hale getirir. Egzersiz sırasında hızla yorulma, nefes darlığı ile yetersiz performans gibi sorunlar ortaya çıkabilir.
Sosyal ve Psikolojik Etkiler
Psikolojik etkiler , özellikle ergenlik dönemindeki bireylerde göğüs duvarı deformitesinin sosyal ya da duygusal boyutunu etkileyebilir. Estetik kaygılar, özgüven eksikliklerine yol açarak bireyin sosyal ilişkilerini zorlaştırabilir. Uzun süreli psikolojik baskılar, depresyon ile kaygı bozukluklarına zemin hazırlayabilir.

Kunduracı Göğsü Nasıl Teşhis Edilir?
Fiziksel muayene ile kolayca fark edilebilen kunduracı göğsü rahatsızlığı, belirginleşen çöküklük ile dikkat çeker. Bunun yanı sıra hastalığın doğru teşhisi için görüntüleme yöntemlerine de başvurulabilir. Teşhisinde kullanılan bazı yöntemler şunlardır:
- Fizik muayene ve klinik değerlendirme
- Görüntüleme yöntemleri
- Kalp ve akciğer fonksiyon testleri
- Göğüs duvarı ölçümü ya da değerlendirme testleri
Testler, deformitenin şiddetini belirlemek ve tedavi planını oluşturmak için kullanılır.
Fizik Muayene ve Klinik Değerlendirme
Fizik muayene, kunduracı göğsünün teşhisinde ilk adımdır ve deformitenin boyutu ile derinliği hakkında bilgi verir. Klinik değerlendirme sırasında göğüs kafesindeki çökme veya semptomların şiddeti belirlenir. Fizik tedavi ve rehabilitasyon , hastaların durumunu iyileştirmeye yönelik yardımcı bir süreç olabilir.
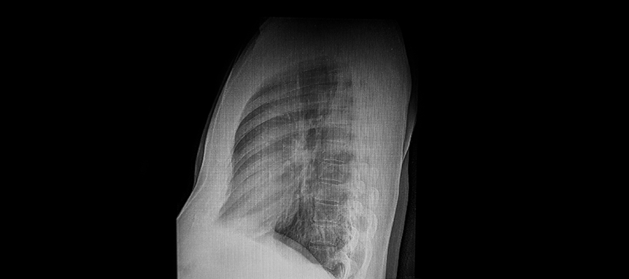
Görüntüleme Yöntemleri
Kunduracı göğsünün daha ayrıntılı şekilde değerlendirilmesine olanak tanır. Radyolojik görüntüleme (MR, BT) , deformitenin derinliği ya da kalp ile akciğerler üzerindeki etkilerini net şekilde gösterir. Bu testler, tedavi planını oluştururken önemli bir bilgi kaynağıdır.
Kalp ve Akciğer Fonksiyon Testleri
Kalp ile akciğer fonksiyon testleri, kunduracı göğsünün yol açtığı olası sağlık sorunlarını tespit etmek için kullanılır. Pulmoner fonksiyon testleri , akciğerlerin verimli çalışıp çalışmadığını değerlendirerek solunum kapasitesinin ne durumda olduğunu gösterir.
Göğüs Duvarı Ölçümü ve Değerlendirme Testleri
Göğüs duvarı ölçümü, kunduracı göğsünün derinliğini ile yayılma alanını tespit etmek için yapılır. Göğüs duvarı değerlendirmesi , deformitenin şiddetini ve ilerleyişini anlamak için oldukça faydalıdır. Bu test, tedavi sürecinde en uygun yöntemlerin belirlenmesine yardımcı olur.
Kunduracı Göğsünün Tedavi Yöntemleri Nelerdir?
Kunduracı göğsünün tedavi yöntemleri, deformitenin şiddeti ile hastanın genel sağlık durumuna göre değişiklik gösterir. Tedavi, cerrahi ve cerrahi olmayan seçenekleri içerebilir. Tedavisinde kullanılan başlıca yöntemler şunlardır:
- Minimal invaziv cerrahi (nuss prosedürü)
- Açık cerrahi yöntemler (ravitch prosedürü)
- Vakumlu çan (vakum terapi yöntemi)
- Ameliyat sonrası bakım ve rehabilitasyon
Tedavi süreci, her hastanın bireysel ihtiyaçlarına göre şekillenir. Uzman bir sağlık ekibi, tedavi planını düzenlerken hastanın yaşam kalitesini artırmayı hedefler.
Minimal İnvaziv Cerrahi (Nuss Prosedürü)
Minimal invaziv cerrahi vücuda en az müdahaleyle yapılan işlemler arasında yer alır ve iyileşme sürecini kısaltmasıyla dikkat çeker. Bu yaklaşım, daha küçük kesilerle gerçekleştirilerek hastanın günlük hayatına daha kolay dönmesini sağlar. Kunduracı göğsü tedavisinde de tercih edilen yöntemlerden biridir.
Nuss prosedürü , cerrahi yöntemin en bilinen uygulamalarından biri olup göğüs duvarını içten destekleyerek çöküklüğü düzeltmeyi amaçlar. Genellikle ergenlik dönemindeki hastalara uygulanır ve başarı oranı yüksek olarak değerlendirilir. Kozmetik görünümün yanı sıra solunum fonksiyonlarını da olumlu yönde etkileyebilir.
Açık Cerrahi Yöntemler (Ravitch Prosedürü)
Cerrahi düzeltme , tedavide en etkili yöntemlerden biri olup kalıcı çözüm sağlar. Bu tür müdahaleler, deformitenin derinliği ile hastanın yaşına bağlı olarak belirlenir. Açık cerrahi yöntemler, geniş kesilerle yapılmasına rağmen uzun vadede daha stabil sonuçlar sunabilir.
Ravitch prosedürü , göğüs kafesindeki kıkırdak yapıların yeniden şekillendirilmesini sağlayarak deformiteyi düzeltir. Bu işlem, büyük deformiteleri olan hastalar için uygundur. Ancak iyileşme süreci uzun olabilir ve hastalar belirli bir süre hastanede kalmak zorunda olabilir.
Vakumlu Çan (Vakum Terapi Yöntemi)
Vakumlu çan yöntemi , cerrahi olmayan bir tedavi alternatifi olup deformiteyi düzeltmek için göğüs kafesine negatif basınç uygulamak üzerine kuruludur. Düzenli kullanımda deformitenin düzelmesine yardımcı olurken genellikle genç hastalar için önerilir.
Ameliyat Sonrası Bakım ve Rehabilitasyon
Ameliyat sonrası bakım, iyileşme sürecinin hızlanmasına yardımcı olurken komplikasyonları önler. Rehabilitasyon süreci, fiziksel terapi ve egzersizlerle desteklenebilir. Ameliyat sonrası takip , tedavi sürecinin doğru şekilde izlenmesini sağlayarak herhangi bir sorunun erken tespit edilmesine olanak tanır.

Kunduracı Göğsü Tedavi Edilmezse Ne Olur?
Kunduracı göğsü tedavi edilmezse zamanla semptomlar daha belirgin duruma gelerek kişinin hayat kalitesini etkileyebilir. Bu durum, solunum ile kalp fonksiyonlarını zorlayarak çeşitli sağlık problemlerine yol açabilir. Uzun vadede tedavi edilmeyen deformite, fiziksel ve psikolojik sorunlara da neden olabilir.
Kalp ve Akciğer Fonksiyonlarında Bozulma
Kalp ve akciğerler üzerinde olumsuz bir etki yaparak bu organların verimli çalışmasını zorlaştırabilir. Deformite nedeniyle göğüs kafesinde meydana gelen kalp basısı , fonksiyonları olumsuz etkileyebilir. Zamanla kişinin solunum ile dolaşım sistemini zorlayarak daha ciddi sağlık problemlerine yol açabilir.
Fiziksel Kapasitede Kalıcı Azalma
Kunduracı göğsü, fiziksel kapasitenin azalmasına yol açarak kişinin egzersiz yapma yeteneğini sınırlar. Bu durum, günlük aktivitelerde bile zorlanmalara ve hızla yorulmalara sebep olabilir. Tedavi edilmediği takdirde, fiziksel kapasitedeki bu azalma kalıcı hale gelebilir.
Psikolojik ve Sosyal Problemler
Estetik ve fiziksel zorluklar nedeniyle psikolojik etkiler yaratabilir. Bu durum, kişinin özgüvenini olumsuz etkileyerek sosyal ilişkilerde sorunlara yol açabilir. Uzun vadede bu sorunlar depresyon, anksiyete gibi daha ciddi psikolojik problemlere dönüşebilir.
Kunduracı Göğsü ile Yaşam ve Öneriler
Kunduracı göğsü olan kişilerde yaşam kalitesini korumak amacıyla bazı alışkanlıklara dikkat etmek gereklidir. Günlük rutin içinde hem fiziksel hem de psikolojik dengeyi destekleyen adımlar fayda sağlayabilir. Yaşamı kolaylaştırmaya yönelik bazı öneriler ise şöyle özetlenebilir:
- Rutin fiziksel aktivite ve egzersizler
- Psikolojik destek ile sosyal adaptasyon
- Düzenli kontrol veya izlem önerileri
Uygulanan küçük değişiklikler, genel konforu artırabilir. Düzenli takip ve basit önlemlerle sağlıklı yaşam sürdürülebilir.
Düzenli Fiziksel Aktivite ve Egzersizler
Duruş bozukluklarını azaltmak ve solunum kapasitesini artırmak için düzenli egzersiz oldukça önemlidir. Hafif ağırlık çalışmaları, yürüyüş ile esneme hareketleriyle göğüs kasları desteklenebilir.
Psikolojik Destek ve Sosyal Adaptasyon
Kunduracı göğsü, kişinin dış görünüşüyle ilgili kaygılar yaşamasına neden olabilir. Psikolojik destek almak, özgüveni korumak veya sosyal ortamlarda daha rahat hissedebilmek açısından faydalıdır. Grup terapileri ile destek çevreleri, sosyal adaptasyonu kolaylaştırabilir.
Düzenli Kontrol ve İzlem Önerileri
Tedavi sürecinin sağlıklı ilerlemesi için periyodik takip büyük önem taşır. Özellikle göğüs cerrahisi alanında uzman hekimler tarafından yapılan değerlendirmeler, olası sorunların erken tespitini sağlar. Düzenli kontroller hem fiziksel hem de genel sağlık durumunun izlenmesine katkı sunar.
Kunduracı Göğsü (Pektus Ekskavatum) Hakkında Sıkça Sorulan Sorular
Kunduracı Göğsü (Pektus Ekskavatum) Nedir?
Göğüs kafesinin ön kısmındaki sternumun içe doğru çökmesiyle oluşan şekil bozukluğudur. Genellikle doğuştan gelen bu durum, hafif ya da ileri derecede olabilir.
Kunduracı Göğsü Belirtileri Nelerdir?
Göğüsün ortasında çöküklük, nefes darlığı ile fiziksel efor sırasında çabuk yorulma sık görülen belirtilerdir. İleri vakalarda kalp veya akciğer fonksiyonlarında baskıya bağlı sorunlar gelişebilir.
Kunduracı Göğsü Neden Olur?
Kesin nedeni bilinmemekle birlikte genetik yatkınlığın önemli olduğu düşünülür. Bağ dokusu hastalıklarıyla ilişkilendirilen durumlar arasında yer alır.
Kunduracı Göğsü Nasıl Teşhis Edilir?
Fizik muayene ile fark edilir ancak kesin teşhis için göğüs röntgeni, tomografi veya MR gerekebilir. Solunum fonksiyon testi ile kalp değerlendirmeleri de tanıda yardımcıdır.
Kunduracı Göğsü Kimlerde Görülür?
Çoğunlukla çocukluk veya ergenlik döneminde ortaya çıkar. Erkeklerde kızlara oranla daha sık rastlanır.
Kunduracı Göğsünün Tedavi Yöntemleri Nelerdir?
Hafif vakalarda fizik tedavi ile solunum egzersizleri önerilir. Orta ve ağır vakalarda cerrahi müdahale gerekebilir.
Kunduracı Göğsü Ameliyatı Kaç Yaşında Yapılmalıdır?
Genellikle ergenlik döneminde, göğüs kafesi gelişimini tamamlamadan önce tercih edilir. Ancak yetişkinlikte de gerekli durumlarda ameliyat yapılabilir.
Kunduracı Göğsü Cerrahisinin Riskleri Nelerdir?
Enfeksiyon, kanama ve göğüs içi organlara zarar verme gibi riskler bulunur. Ayrıca nadiren ameliyat sonrası ağrı veya şekil bozukluğu devam edebilir.
Kunduracı Göğsü Tamamen İyileşir mi?
Cerrahi başarı oranı yüksek olup estetik ve fonksiyonel açıdan belirgin düzelme sağlanır. Ameliyat sonrası düzenli takip ile egzersizle iyileşme süreci desteklenir.
Kunduracı Göğsü Tedavi Edilmezse Hangi Sorunlara Yol Açar?
İleri vakalarda kalp ve akciğer fonksiyonlarında azalma görülebilir. Ayrıca beden görünümüne bağlı psikolojik etkiler gelişebilir.
Doktorlar
-
Prof.Dr. ALPER FINDIKCIOĞLU
Kunduracı Göğsü
Hızlı Randevu Al
-
Prof.Dr. ERKAN KABA
Kunduracı Göğsü
Hızlı Randevu Al
-
Prof.Dr. GÖKHAN ERGENE
Kunduracı Göğsü
Hızlı Randevu Al
-
Prof.Dr. ILGAZ DOĞUSOY
Kunduracı Göğsü
Hızlı Randevu Al
-
Doç.Dr. MAHMUT SUBAŞI
Kunduracı Göğsü
Hızlı Randevu Al
-
Dr. AYTEN GÜNER AKBIYIK
Kunduracı Göğsü
Hızlı Randevu Al
-
Dr. FATİH GÜRLER
Kunduracı Göğsü
Hızlı Randevu Al
-
Dr. HATİCE COŞĞUN (M)
Kunduracı Göğsü
Hızlı Randevu Al